你知道吗?最近有个名叫朱小姐的姑娘,她可是娱乐圈里的小辣椒,最近又爆出了一个大料,让整个娱乐圈都炸开了锅!这不,我就迫不及待地来和你聊聊这个话题,保证让你听得津津有味。朱小姐的背景朱小姐,一个看似普通的名字,却隐藏着不少故事...
你知道吗?最近有个名叫朱小姐的姑娘,她可是娱乐圈里的小辣椒,最近又爆出了一个大料,让整个娱乐圈都炸开了锅!这不,我就迫不及待地来和你聊聊这个话题,保证让你听得津津有味。朱小姐的背景朱小姐,一个看似普通的名字,却隐藏着不少故事...
最近娱乐圈可是炸开了锅,刘诗诗和袁弘这对曾经的荧幕情侣,竟然有了最新爆料!你有没有被这股热潮卷进去呢?今天,就让我带你一探究竟,看看这对曾经的“仙侣”现在都过得怎么样吧!一、甜蜜回忆,曾经的“仙侣”还记得《仙剑奇侠传三》里的...
你知道吗?最近网络上有个热词“爆料最新项目”,听起来是不是很神秘?今天,我就要来给你揭秘这个话题,让你对这个词汇有个全面的认识。准备好了吗?让我们一起探索这个新鲜玩意儿!一、什么是“爆料最新项目”首先,得弄清楚这个词汇的含义...
鲨鱼,这个海洋中的神秘生物,总是能激发人们的好奇心。最近,网络上爆出了许多关于鲨鱼的最新视频,让人仿佛置身于深海之中,与这些巨大的生物亲密接触。今天,就让我们一起来看看这些鲨鱼最新爆料视频大全,下载这些精彩瞬间,感受海洋的奇...
你知道吗?最近东北云姐可是爆出了不少猛料哦!这位在网络上颇有影响力的东北大姐大,总是能带来让人眼前一亮的八卦新闻。今天,就让我带你一起深入了解一下她的最新爆料吧!一、云姐的背景故事东北云姐,本名王云,来自我国东北的一个小城市...
你知道吗?最近深圳表哥又爆出了一个大料,这可是让整个朋友圈都炸开了锅!咱们就来聊聊这个新鲜出炉的爆料,看看它到底有什么来头。一、神秘爆料,究竟是什么?话说那天,深圳表哥在朋友圈里突然发了一条信息:“重磅消息,独家爆料,你们猜...
巫山爆料:揭秘神秘事件,最新消息曝光!亲爱的读者们,今天我要给大家带来一则让人心跳加速的巫山爆料新闻!巫山,这个位于重庆市东北部,长江三峡库区腹地的神秘之地,最近又发生了什么让人津津乐道的故事呢?让我们一起揭开这层神秘的面纱...
最近衢州公馆可是闹得沸沸扬扬的,这不,又有新鲜视频爆料出来了!你有没有听说?快来跟我一起看看这背后的故事吧!衢州公馆:繁华背后的秘密衢州公馆,这个名字在衢州可是响当当的。它不仅是一个高档住宅区,更是衢州城市的一道亮丽风景线。...
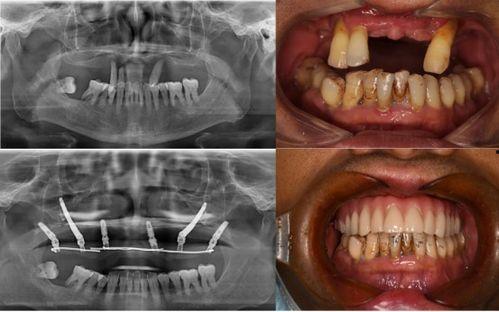
最近佛山那边的种牙事件可是闹得沸沸扬扬的,咱们得好好来聊聊这个话题。你有没有听说,佛山某口腔医院因为种牙问题引发了一场不小的风波?别急,让我带你一探究竟,看看这背后到底隐藏着怎样的秘密。一、事件起因:患者反映种牙后问题不断话...
最近网上可是炸开了锅,大家都在热议一个话题——中融民信的最新消息。这不,我可是迫不及待地要来给你爆料一番,让你第一时间掌握这个大事件的最新动态。下面就让我带你一探究竟吧!一、中融民信背景揭秘首先,得先给你介绍一下中融民信这家...